邮箱: jswz@600200.com
地址:江苏吴中医药发展股份有限公司董事会办公室

Hey guys,上次给大家说了艾塑菲的制造工艺后,有医生问艾塑菲的安全性,那既然都这样了,我们今天就好好来说说,艾塑菲的疗效和安全性。前不久艾塑菲的中整协专场大家去了吗?有幸去到现场的医生们,一定会对这两个字印象非常深刻——平衡。
这也是我学习下来最深刻的感受。原来,艾塑菲在产品的设计之初,就最大程度地考虑了“平衡”二字,这里的平衡,指的就是疗效和安全性之间的平衡。中国童颜针上了这么久,这两个字是第一次引发了我的深思。因为它不仅适用于艾塑菲,还适用于很多我们医美的场景,更是我们整形医生在日常工作中,每时每刻都要去遵循的一项原则。
过去童颜针的两难困境
回顾历史,我们会发现,在童颜针刚刚在全球上市的时候,它出现的并发症还是比较多的,因此也是一定程度上限制了它的使用。当时由于制造工艺和注射技术的因素,大家一提起童颜针,往往就有很负面的评价。比如我在搜索栏里输入童颜针的时候,会第一个跳出来的联想词就是complication,以及结节,副作用这种词条。在中国更加负面,大家会误以为童颜针会过度生长,并且一旦产生结节就无法消除。
没办法,之前的制造工艺中,童颜针微球的颗粒大概在40-63微米,大的颗粒代表了更好的生长效果和更慢的降解时间,但是代价就是可能造成的风险会提高(比如栓塞,比如产生结节的概率,比如背上好久才吸收的锅)。那如果微球的颗粒小呢,小代表了安全性和注射友好度(不容易堵针孔),但是颗粒太小呢,容易打了个寂寞(小于30微米的颗粒容易被巨噬细胞吞了),也可能代表了更短的维持时间。

这个问题再展开说,童颜针本身也存在着天然的劣势——它没有占位性的特征,做不到打完所见即所得,因为它是靠注射后自身胶原蛋白的新生来完成作用,所以很多老外不喜欢,老外更倾向于立竿见影的产品,比如玻尿酸,比如几天就起效的肉毒。放在中国市场,这个劣势更加炸裂,因为大部分求美者花了大把的钱下去,是为了看见效果的,那么那些心急的求美者就奔着其他品相去了,比如少女针或者玻尿酸,又或者有聪明的整形医生会想出“把童颜针和玻尿酸混合了再注射”这样的法子。
市场教育走到今天,才有小部分求美者认可了童颜针的优势,也接受了它的劣势,这还得益于前面玻尿酸过度注射埋下了一些特殊的并发症——馒化脸的治疗。童颜针在馒化方面的作用也才初步被大家看见。虽然表面上看起来是天时地利人和,但其中的艰难仍然大范围存在。
那么,艾塑菲的设计初衷,其实就奔着想最大程度地改善童颜针的劣势,放大童颜针的优势而来。这也是为什么,平衡二字在我脑海里,久久不能散去。

图:艾塑菲的多孔微球结构
艾塑菲的平衡之路
简单来说,艾塑菲通过“聚双旋乳酸”+“多孔海绵状微球”两大核心科技,实现了自身平衡之道。它主打一个安全性和效果的平衡:让效果可控,可见,同时兼顾了良好的安全性,由此打破了过去童颜针的两难平衡
01
早期可见的效果
由于“多孔海绵状微球技术”,艾塑菲的第一个独特性就是,它具有即刻填充的效果,并且回落慢。这是我觉得它最有特点的地方。即刻填充的效果应该是CMC的胶质体体积+微球体积,蜂巢状的微球体积更大,实心的微球体积较小,较小的微球密度,使其呈现更大的视觉体积,在注射初期体现更好的即刻效果。

图:PDLLA和PLLA的回落曲线
关于这一点,后台有医生问,艾塑菲和艾维岚对比起效时间如何,这方面我建议大家先等一等,毕竟艾塑菲的上市时间还比较短,有过两款同时注射经验的医生不多,我答应大家,如果有相关的反馈,我会第一时间告诉大家。
这一个优势其实特别适合中国目前的医美市场环境,对于那些心急的求美者,犹豫童颜针生长效果缓慢的求美者,艾塑菲不失为一种选择。

02
自然的再生效果:内外协同生长
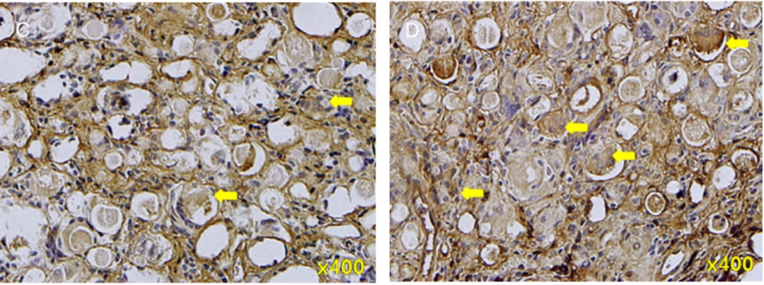
艾塑菲的微球内部是多孔的,海绵状的,所以艾塑菲的新生,是向微球内部去生长的。这不是说外部不生长,而是“穿透式生长“,艾塑菲使球体之间胶原蛋白增加,同时细胞也经由孔隙往球内进驻、制造胶原蛋白、弹力纤维…等,逐渐改善皱纹、紧致肌肤,然后随着时间的流逝,微球逐渐代谢,但是微球里里外外新生的胶原蛋白就留了下来。

图:注射后12周IHC染色的组织切片,可见向微球内生长的胶原
所以,艾塑菲这个特点,平衡了效果和童颜针本身特性,既缓解了童颜针注射后很快回落的困境,又实现了自然生长的效果。
03
平衡了安全性和维持时间
在过去的文献分享里,我记得关于童颜针迟发型并发症最久的一个案例,是15年,这提示我们,可能童颜针会比说明书里的维持时间要久得多。前面我们也说过,大颗粒的童颜针其实代谢时间会相对久些,这可能会引发求美者的担忧——童颜针会不会一直在我脸上无法完全吸收?
事实上有这样担忧的也不止童颜针,少女针啊,玻尿酸啊,PMMA啊,同样如此。过去我们还有求美者追求“一针管到老”的效果呢,那现在随着市场教育的充分进行,一部分求美者也逐渐接受了,不能选择维持时间太久的产品这样的观点。过去童颜针的维持时间,一直说的是连续打3次维持2-3年。但是艾塑菲在这点上,也做了一个新的平衡:

表:几种生物材料的生物降解时间对比(单位:月)
一款胶原再生的材料,在体内代谢的时间是越长越好呢?还是越短越好呢?其实都不对,太长会有安全隐患,而太短则没有足够的时间完成胶原再生的过程。所以,真正合适的时间是,当完成了胶原再生的使命,材料就完全降解并被我们人体自己的组织所替代。而艾塑菲的聚双旋乳酸材料,其12-16个月的体内降解时间,就很好地符合了这样的要求。这样既保证了一个相对长的维持时间,也确保了它可以安全降解,完成组织再生后,不在体内过久残留,这样的降解速度更合理,更符合目前广大求美者的需求。
剩下的关于复溶的特点,我们在上一篇文章里已经跟大家说过了,这里就不再赘述了。
所以我们是不是可以这样理解,艾塑菲的效果之道在于:①早期可见、②回落更缓、③自然再生;艾塑菲的安全之道在于:①安全降解、②悬浮均匀、③不易聚团。
最后,应广大医生们的要求,特地放出案例一个,限于篇幅,我们今天就看一个大概的效果就好,以后我再给大家细说。



术前VS第三次注射后2个月
最后,艾塑菲的上市会终于要开了,感兴趣的医师们可以看下面的预告。今天的分享就到这里,最后别忘记点“在看”哦!~~
参考文献 1. Jui-Yu Lin, et al. early stage volume effect difference between injectable poly l lactic acid and injectable poly d,l-lactic acid.[J] J Cosmet Dermatol. 2023 May;22(5):1702-1703. 2. The Trend of Biomaterials in Facial Plastic and Reconstructive Surgery Korean J Otorhinolaryngol-Head Neck Surg 2014;57(10): 651-6
内容来源: